高濃度乳房(デンスブレスト)
高濃度乳房(デンスブレスト)

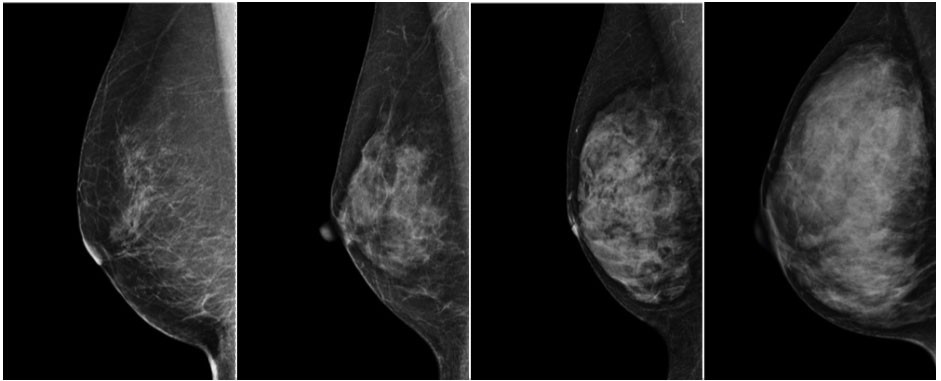
高濃度乳房(デンスブレスト)とは、乳腺組織が多く、乳房全体が白く映るタイプの乳房を指します。マンモグラフィでは、乳腺も乳がんも白く映るため、乳腺が多いとがんの影が隠れて見つかりにくくなる特徴があります。
日本人女性は欧米と比べて乳腺の割合が多く、高濃度乳房に該当する方が比較的多いといわれています。特に40代以下の女性では、高濃度乳房であるケースが目立ちます。
また、高濃度乳房は乳がんが見つかりにくいだけでなく、乳がん発症リスクがやや高い傾向があるとも報告されています。そのため、自分の乳房タイプを知り、適切な検査方法を選ぶことが大切です。
高濃度乳房は特に日本人女性に多く見られますが、その割合は年齢によって変化します。乳腺の密度は女性ホルモンの影響を強く受けるため、年齢とともに変化していきます。
20代から30代前半の女性は乳腺が発達しており、乳房全体が乳腺組織で占められる割合が高いため、多くの方が高濃度乳房に該当します。
この世代では、マンモグラフィだけでは乳がんを見つけにくいため、**乳腺超音波検査(エコー)**を併用することが推奨されます。特に家族歴がある方やリスクが高い方は、20代からでも定期的な超音波検査が望ましいです。
40代は日本人女性で乳がんの発症が最も増える年代であり、乳腺もまだ比較的発達しているため、高濃度乳房の方が多い傾向にあります。
この世代ではマンモグラフィと超音波検査の併用が非常に重要です。乳腺が多いためマンモグラフィだけでは見つけにくいがんが存在する可能性があり、超音波で補完することで早期発見率が高まります。
閉経を迎える50代以降では、乳腺が徐々に脂肪組織に置き換わり、乳房全体の密度が下がるため、高濃度乳房に該当する割合は減少します。
しかし、50代でも高濃度乳房の方は一定数存在し、乳がんの発見が難しい場合があるため、引き続きマンモグラフィと超音波検査を組み合わせて検診を行うことが望まれます。
特に閉経前後は乳腺の状態が変化する時期であり、検査結果が年ごとに変わることもあるため、定期的な検診が大切です。
| 年代 | 主な乳房の特徴 | 推奨される検査 |
|---|---|---|
| 20〜30代 | 高濃度乳房が多い。乳腺が発達しマンモグラフィでは判別が難しい | 乳腺超音波検査中心。家族歴がある方は年1回推奨 |
| 40代 | 高濃度乳房が多く、乳がん発症率が上昇する時期 | マンモグラフィ+超音波の併用検診 |
| 50代以降 | 脂肪組織が増え乳腺が減少。高濃度乳房は減少傾向 | マンモグラフィを中心に、必要に応じて超音波検査併用 |
高濃度乳房そのものには症状はありません。乳房が硬く感じる、張りが強いといった体感がある場合もありますが、乳腺が多いこと自体は病気ではないため、症状だけで判断することはできません。
しかし、以下のような症状がある場合は、乳がんや乳腺症などの病気が隠れている可能性があります。自覚症状がある場合は早めに乳腺外科を受診しましょう。
高濃度乳房の方は、マンモグラフィだけでは乳がんを見落とす可能性があります。
当院では、乳腺組織が多い方に対して以下のような検査を組み合わせ、より正確な診断を行います。
超音波は乳腺が白く映らないため、高濃度乳房でもしこりを発見しやすい特徴があります。特に40代以下の女性や、乳腺が発達している方に有効です。
乳がんの早期発見に欠かせない基本的な検査です。石灰化など超音波では見つけにくい病変を確認できます。
画像検査で異常が疑われる場合は、細胞診や針生検などを行い、確定診断を目指します。
高濃度乳房自体は病気ではないため治療は不要ですが、乳がんが見つかった場合は手術・薬物療法・放射線療法など、乳がんの性質と進行度に応じた治療を行います。
また、乳がんが見つからなかった場合でも、乳腺が多い方はリスクが高めであるため、定期的な検診や自己触診を継続することが大切です。
当院での高濃度乳房に対する診療は以下の流れで進めます。
問診・触診
乳房の状態や症状、家族歴などを詳しく確認します。
画像検査の実施
マンモグラフィと超音波検査を組み合わせ、しこりや異常がないか確認します。
結果説明
検査後は当日中に結果を医師が説明し、今後の方針を患者様と一緒に決定します。
必要に応じた精密検査
異常が疑われる場合は細胞診や針生検を後日改めて実施します。
経過観察または治療へ
乳がんが見つからなかった場合は定期的な経過観察を、乳がんと診断された場合は速やかに治療へ移行します。
TOP