マンモグラフィ検査と超音波検査
マンモグラフィ検査と超音波検査

乳房の健康を守るうえで、マンモグラフィ検査と**乳腺超音波検査(エコー)**は欠かせない重要な検査です。
当院では、最新の設備を導入し、高精度で安全性の高い検査体制を整えています。
さらに、これらの検査を組み合わせて行うことで、乳腺の状態をより詳しく確認でき、精度の高い乳がん検診・乳房診断を提供しています。
また、検査後は当日中に結果を医師が丁寧にご説明いたします。
結果を待つ期間による不安や負担を軽減できるため、安心して検査を受けていただけます。
最新機器によるスピーディーかつ精密な検査と迅速な結果説明で、患者様の心身への負担を最小限に抑えながら、乳房の健康をしっかりとサポートいたします。
超音波検査(エコー)を院長(男性)が行う場合があります。
女性技師をご希望の方は職員にお声がけください。
マンモグラフィ検査は、乳房を板で挟んでやや圧迫した状態でX線(乳房専用撮影)を行い、乳房内部の構造や石灰化、腫瘤(しこり)の有無を画像で確認する検査です。
乳房内に現れる異常陰影や微細な石灰化を探すのに非常に有効で、乳がんの早期発見に欠かせない検査の一つです。
当院では、最新ディテクタ(受像機)を採用している「GE製 Senographe Nova Crystal」という機種を使用しております。この装置は不安を抱えながら検査に臨む女性の緊張を和らげ、リラックスして検査を受けていただけるよう、体が触れる部分の形状は痛みの感じ方を軽減できるデザインを採用しております。
さらに圧迫時間も以前より短くなり、被ばくも基準の半分以下で撮影可能です。乳がんの代表的な病変である腫瘤・石灰化をマンモグラフィにて観察することが出来ます。

当院のマンモグラフィ装置
「GE製 Senographe Nova Crystal」

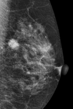
上の図の白く濃く塊のように見えるのが乳がんの所見です
(乳がんの所見の一例です。)

上の図は石灰化の所見を示しています。

乳房に超音波をあて、はね返ってくる反射波を画像化した検査です。
乳房表面にゼリーを塗り、その上からプローブと呼ばれる機械をすべらせて、乳房内部を写します。これにより、しこりの形や性質、質感、境界などをリアルタイムで観察できます。
特に乳腺が濃い乳房(高濃度乳房)や若年女性で、マンモグラフィでは見えにくい病変を補う役割があります。
当院では、乳腺外科を専門とする経験豊富な医師が診療・検査を担当します。
しこりや痛みなどの症状がある方はもちろん、健診で異常を指摘された方にも、専門医の高い知識と技術による診断を受けていただけます。
乳腺特有の症状や画像診断の微細な変化も見逃さず、適切な検査と結果説明を行います。
検査を受けた後、結果がわかるまで長期間待たされると、不安な時間を過ごすことになります。
当院では、マンモグラフィ検査・超音波検査ともに、当日中に結果説明が可能です。
異常がなかった場合はすぐに安心を得られ、もし異常が見つかった場合も迅速に次のステップに進めます。
検査で異常が疑われた場合、細胞診や針生検などの精密検査を当院内で実施できます。
さらに、手術や専門治療が必要と判断された場合も、地域の基幹病院と連携し、その後の治療をスムーズに進められる体制を整えています。
「検診だけで終わり」ではなく、診断・治療までを一貫して診療いたします。
日本人女性は乳腺が密な高濃度乳房の方が多く、マンモグラフィのみでは病変が隠れてしまうことがあります。
当院では、マンモグラフィと乳腺超音波検査を同日に組み合わせて実施できるため、発見率を高め、より正確な診断が可能です。
さらに、検査後には乳腺の構成を判定し、次回以降の適切な検診方法をご提案いたします。
| 比較項目 | 超音波(エコー) | マンモグラフィ |
|---|---|---|
| 放射線被ばく | なし | 微量だがあり |
| 適している方 | ・乳腺が発達している若年者・妊娠中、授乳中の方・頻繁に検査の必要な方・乳房に痛みや炎症がある方 | ・閉経後で乳腺の多くが脂肪に置き換わっている方・乳房が大きく超音波が深部まで届きにくい方 |
| 検査を受けられない方 | 特に制限なし | ・妊娠中、授乳中の方 ・豊胸術を受けている方 ・ペースメーカーやVPシャントが入っている方 ・乳腺科で治療中で主治医の了承が得られていない方 |
| 微細石灰化の検出(早期乳がんのサイン) | 難しいことがある | 可能 |
| 小さなしこりの検出 | 可能 | 乳腺が発達している場合、難しいことがある |
| 前回検査との比較 | 再現性・客観性に欠ける場合があり、比較できないこともある | 可能 |
※最終的な検診結果は4~8週間後に郵送、または再診でご確認いただけます。
※一次結果と最終結果が異なる場合がありますので、必ず最終結果をご確認ください。
以下は、当院でマンモグラフィ + 超音波検査を受けていただく一般的な流れです。
受付・問診票記入
来院後、問診票に乳房の症状、家族歴、既往歴などをご記入いただきます。
視触診(希望・コースによる)
乳房およびわきの下を視診・触診し、しこりや皮膚変化を確認します。
マンモグラフィ撮影
乳房を圧迫してX線撮影を行います。撮影方向は年齢によって変わります。
乳腺超音波検査(併用オプション)
希望または必要に応じて、その場で超音波検査を追加します。
結果読み取り・当日説明
画像を専門医が読み取り、検査当日に説明・アドバイスを行います。
追加精密検査(必要時)
異常が認められた場合は、細胞診・針生検などの精密検査へ進みます。
最終結果判定・フォローアップ
必要に応じて再診予約、紹介対応、定期観察の提案を行います。
| コース | 費用(税込) |
|---|---|
| マンモグラフィ | 680円 |
| マンモグラフィ+視触診 | 1,370円 |
※40歳以上の女性がご対象です。
| コース | 費用(税込) |
|---|---|
| マンモグラフィ+乳腺超音波検査コース | 11,000円 |
| マンモグラフィコース | 6,000円 |
| 乳腺超音波検査コース | 6,000円 |
※視触診はご希望により追加することができます。(料金は変わりません)
TOP